CardioMEMS Heart Sensor Allows Monitoring of Pressure to Improve Outcomes in NYHA Class III Heart Failure Patients (CHAMPION) Trial (J Am Coll Cardiol, 2017) [MEDLINE]: n = 550
Pulmonary Artery Pressure-Guided Heart Failure Management Decreased Morbidity and Mortality in Patients with Heart Failure with Reduced Ejection Fraction (HFrEF) on Guideline-Directed Medical Therapy, Underscoring the Important Synergy of Addressing Hemodynamic and Neurohormonal Targets of Heart Failure Therapy
Cost-Effectiveness Study of CardioMEMS (Clin Cardiol, 2017) [MEDLINE]
CardioMEMS Heart Failure System was Cost-Effective, with an Incremental Cost-Effectiveness Ratio of $44,832 Per Quality-Adjusted Life Year (QALY)
Physiology
St. Jude Medical Pulmonary Artery Pressure Monitoring Device
xxxx
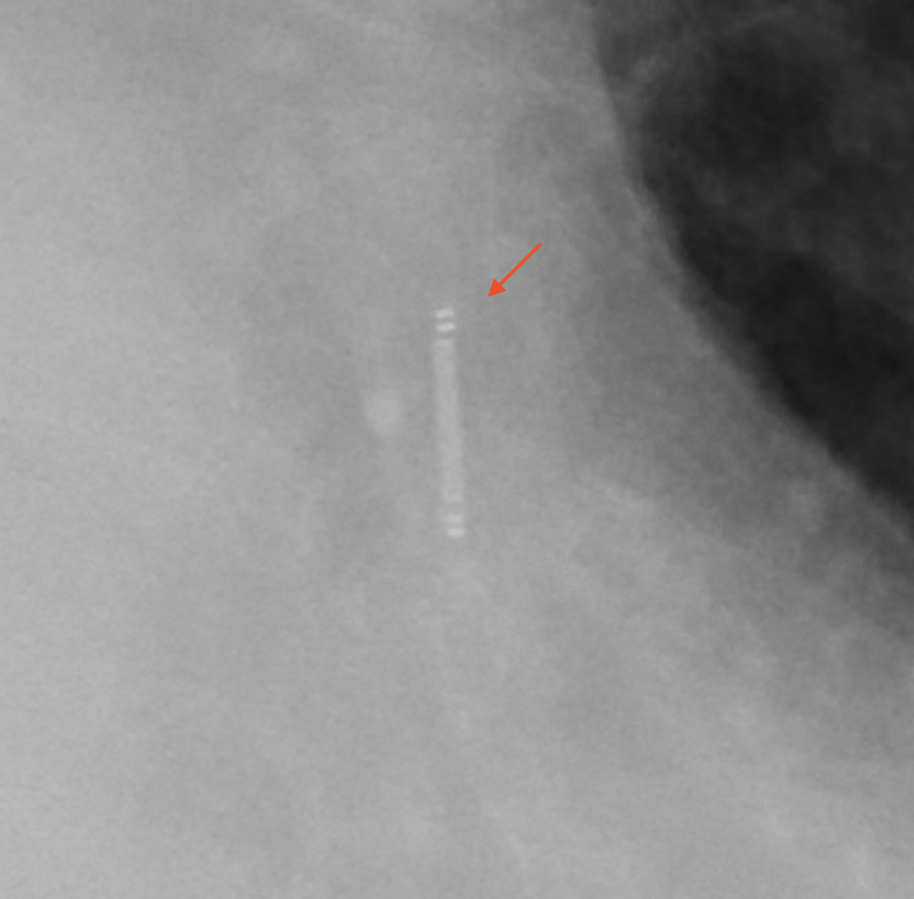
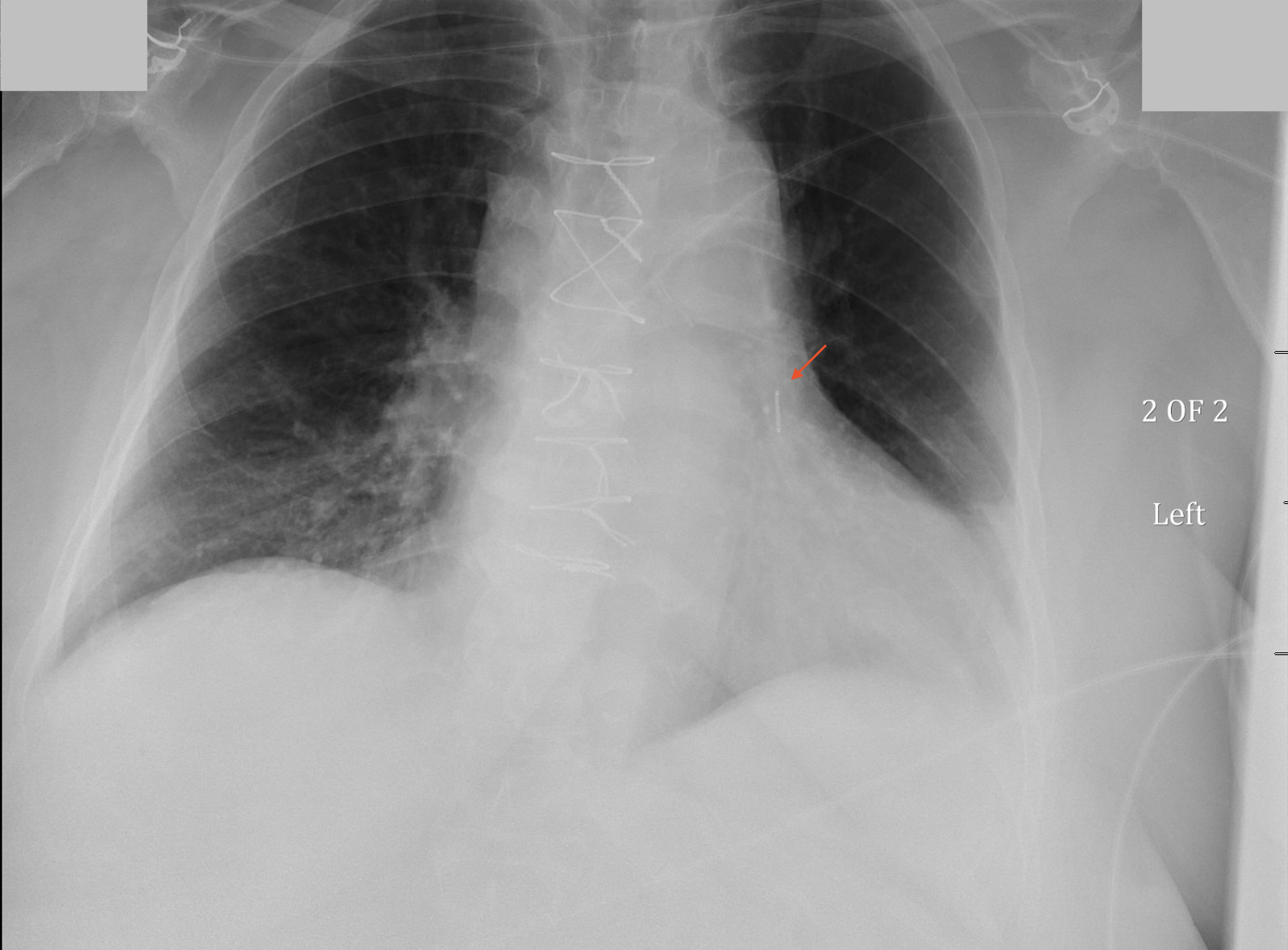
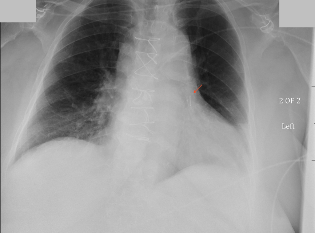
Radiographic Appearance
Note the Presence of the CardioMEMS Superimposed Over the Left Pulmonary Artery in the Following Chest X-Ray (and Inset)
Adverse Effects
Cardiovascular Adverse Effects
xxxx
References
Pulmonary Artery Pressure-Guided Management of Patients With Heart Failure and Reduced Ejection Fraction. J Am Coll Cardiol. 2017 Oct 10;70(15):1875-1886. doi: 10.1016/j.jacc.2017.08.010 [MEDLINE]
Cost-Effectiveness of Remote Cardiac Monitoring With the CardioMEMS Heart Failure System. Clin Cardiol. 2017 Jul;40(7):430-436. doi: 10.1002/clc.22696 [MEDLINE]