MD Nexus
History and Physical Examination
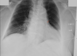
CXR CARDIOMEMS
May 1, 2021
Kenneth Serio, MD